Сепсис. Руководство для врачей
1 490 ₽
В руководстве для врачей представлены методические рекомендации № 90 Департамента здравоохранения г. Москвы «Сепсис. Эволюция представлений, терминология и классификация. Правила формулировки заключительного клинического, патологоанатомического и судебно-медицинского диагнозов, выбора и кодирования причин смерти», подготовленные междисциплинарной группой авторов, утвержденные Экспертным советом по науке Департамента здравоохранения г. Москвы 16 декабря 2025 г. и Российским обществом патологоанатомов.
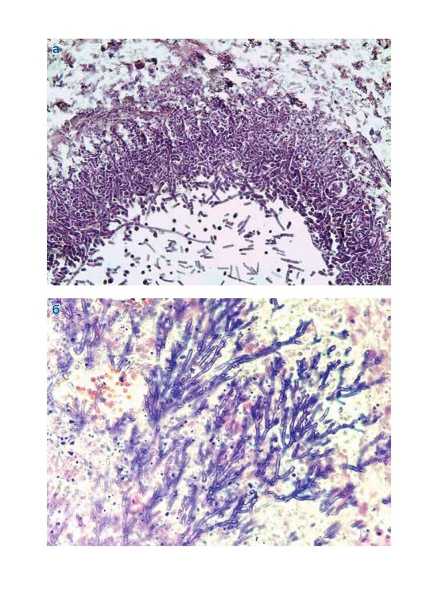
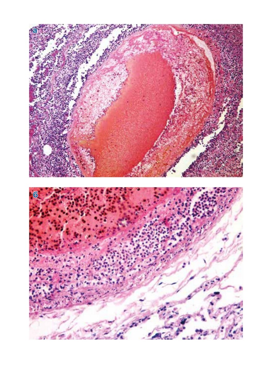
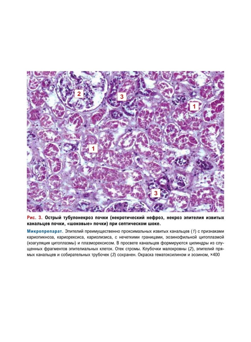
Методические рекомендации включают в себя расширенные разделы по эволюции представлений, классификации, эпидемиологии, этиологии, патогенезу, основным клиническим и морфологическим проявлениям сепсиса, что сближает их с клиническими рекомендациями. Впервые предложена хронологическая периодизация эволюции представлений о сепсисе. Вторая часть руководства — атлас патологической анатомии сепсиса (126 уникальных фотографий макро- и микропрепаратов), подготовленный О.В. Зайратьянцем и О.Д. Мишневым. Современные представления о сепсисе, основанные на международных консенсусах и изложенные в руководстве, являются результатом многолетней дискуссии между специалистами различного профиля, прежде всего клиницистами и патологоанатомами, которая продолжается и в настоящее время.
Для врачей всех специальностей, в частности, врачей-патологоанатомов и судебно-медицинских экспертов, главных специалистов органов здравоохранения, руководителей медицинских организаций.
В наличии
| Автор | Зайратьянц О.В., Мишнев О.Д., Проценко Д.Н., Шигеев С.В., Кулабухов В.В. |
|---|---|
| Под редакцией | Зайратьянца О.В., Мишнева О.Д. |
| ISBN | 978-5-98811-895-4 |
| Обложка | мягкая |
| Количество страниц | 186 |
| Издательство | Практическая медицина |
| Год издания | 2026 |




















